ΙΣΧΙΟ - Δρ. Λάζαρος Μάντσης | Χειρουργός Ορθοπαιδικός στη Θεσσαλονίκη
Δρ. Λάζαρος Μάντσης | Χειρουργός Ορθοπαιδικός στη Θεσσαλονίκη
Search
Search
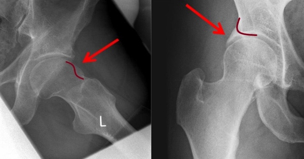
Αρθρίτιδα στο Ισχίο στα 40: Πότε η αρθροπλαστική είναι μονόδρομος;
ΙΣΧΙΟ

Ποια είναι τα κριτήρια γι αυτή την απόφαση;

Αρθρίτιδα στο Ισχίο στα 40: Πότε η αρθροπλαστική είναι μονόδρομος;

Oλοένα και περισσότεροι νεότεροι ασθενείς, ακόμα και στα 40 τους ή και νωρίτερα, αντιμετωπίζουν προχωρημένη αρθρίτιδα, όπου οι συντηρητικές μέθοδοι θεραπείας δεν έχουν πλέον αποτέλεσμα.

Σύνδρομο του Απιοειδούς και Ισχιακός Πόνος
ΙΣΧΙΟ

Μια πάθηση που δεν διαγιγνώσκεται εύκολα

Σύνδρομο του Απιοειδούς και Ισχιακός Πόνος

Το σύνδρομο του απιοειδούς (Piriformis Syndrome) αποτελεί μια λιγότερο γνωστή πάθηση, η οποία προκαλεί πόνο στον γλουτό και στην πορεία του ισχιακού νεύρου και δεν διαγιγνώσκεται εύκολα. Εκτιμάται ότι περίπου το 6%–8% των περιπτώσεων ισχιαλγίας οφείλονται σε αυτό το σύνδρομο.

Κατάγματα Ισχίου σε Άτομα Μεγάλης Ηλικίας: Αιτίες, Συμπτώματα και Αντιμετώπιση
ΙΣΧΙΟ

Κατάγματα Ισχίου σε Άτομα Μεγάλης Ηλικίας: Αιτίες, Συμπτώματα και Αντιμετώπιση

Στις περισσότερες περιπτώσεις, αυτά τα κατάγματα σχετίζονται με την οστεοπόρωση, την απώλεια οστικής πυκνότητας και τη γενικότερη αστάθεια λόγω της ηλικίας. Μια απλή πτώση ή ακόμα και μια απότομη κίνηση μπορεί να οδηγήσει σε σοβαρό τραυματισμό, ο οποίος απαιτεί άμεση ιατρική παρέμβαση.

Η Άρθρωση του Ισχίου και οι Βασικές Αιτίες του Οξέος και Χρόνιου Πόνου
ΙΣΧΙΟ

Η Άρθρωση του Ισχίου και οι Βασικές Αιτίες του Οξέος και Χρόνιου Πόνου

Στην άρθρωση του ισχίου, η λεκάνη και οι μηροί συνδέονται μεταξύ τους και σταθεροποιούνται από τον περιβάλλοντα θύλακο, ισχυρούς συνδέσμους και τους μύες. Ο λεγόμενος χόνδρος υαλίνης, που επικαλύπτει τις αρθρούμενες επιφάνειες ένα πολύ λείο στρώμα χόνδρου, επιτρέπει την ανώδυνη και την αδιατάρακτη κινητικότητα της άρθρωσης. Δεδομένου ότι η άρθρωση του ισχίου με τους σχετικούς μύες, τένοντες, νεύρα και θυλάκους, εμπλέκεται σε πάρα πολλές φάσεις κίνησης και δέχεται όλο το βάρος του σώματος, υφίσταται μεγάλη καταπόνηση και συνεπώς φθορά που τελικά οδηγεί σε πόνο και δυσκαμψία.

Αρθροπλαστική Ισχίου και Γόνατος. Πότε πρέπει να χειρουργηθώ;
ΓΟΝΑΤΟ

Αρθροπλαστική Ισχίου και Γόνατος. Πότε πρέπει να χειρουργηθώ;

Τα κριτήρια με τα οποία ο θεράπων ορθοπαιδικός θα προτείνει στον ασθενή του την ολική αρθροπλαστική διακρίνονται σε βασικά κριτήρια ή απόλυτες ενδείξεις (πρέπει να πληρούνται απαραίτητα) και σε δευτερεύοντα κριτήρια η σχετικές ενδείξεις (μπορεί να υπάρχουν δεν είναι απολύτως απαραίτητα) και μπορούν να ενισχύσουν την λήψη της απόφασης για μια ολική αρθροπλαστική. Από την άλλη πλευρά, υπάρχουν παράγοντες κινδύνου που σχετίζονται με τον ασθενή και αφορούν ένα αυξημένο προφίλ επιπλοκών ή με δυνητικά φτωχό χειρουργικό αποτέλεσμα και μπορούν επομένως να αποδυναμώσουν τη σύσταση για αντικατάσταση της άρθρωσης.

RSS
ΜΑΝΤΣΗΣ SOCIAL
     
ΣΗΜΑΝΤΙΚΕΣ ΠΑΡΑΠΟΜΠΕΣ
ΔΡ. ΛΑΖΑΡΟΣ ΜΑΝΤΣΗΣ

Ορθοπαιδική χειρουργική με επαγγελματισμό και ενσυναίσθηση απέναντι στον ασθενή.

Copyright © 2026 Mantsis Orthopaedics Terms Of Use Privacy Statement
Back To Top